2月2日,据国家药监局药品评审中心(CDE)消息,由中国医学科学院药物研究所申请进口,跨国药企吉利德研发的注射用新药瑞德西韦(Remdesivir)临床试验申请已经获得药监部门受理。该临床试验即将由北京中日友好医院在武汉疫区进行。
美国太平洋时间1月31日,权威医学期刊《新英格兰医学杂志》(NEJM)在线发表了多篇关于2019-nCoV病例的论文,其中一篇介绍了美国首例确诊病例的诊疗过程以及其接受吉利德科学在研药物Remdesivir(瑞德西韦)作为同情用药进行试验性治疗的临床表现。该患者使用药物后第二天,病情就出现了迅速的缓解。
作为一款在研药物,瑞德西韦尚未在任何国家获得批准上市,在没有任何已获批的治疗方案的情况下,美国该案的治疗医生权衡了风险和获益后提出用药请求,在当地监管机构的支持下,吉利德提供了试验性药物瑞德西韦,用于少数2019-nCoV感染者的急症治疗。
“尽管目前没有抗病毒数据显示Remdesivir(瑞德西韦)对于2019-nCoV的活性,但其针对其它冠状病毒的有效数据给了我们希望。在体外和动物模型中,Remdesivir(瑞德西韦)证实了对非典型性肺炎(SARS)和中东呼吸综合征(MERS)的病毒病原体均有活性,它们也属于冠状病毒,且与2019-nCoV在结构上非常相似。”吉利德科学全球首席医疗官Merdad Parsey博士1月31日表示。
论文发表后,案例引发了全球医学界的热烈讨论。在上述案例中,瑞德西韦表现出了近乎神奇的效果,但不得不指出,目前有效案例只有此例一个案例,其安全性和有效性也未被证实。
在瑞德西韦即将在武汉启动临床试验之际,记者根据《新英格兰医学杂志》报道,全面整理了该患者全部诊疗过程。
问诊并取样
1月19日,一名35岁的男子出现在美国华盛顿州斯诺霍米什县的一家急诊诊所,有4天的咳嗽和主观发烧史。病人到诊所检查时,在候诊室戴上了口罩。在等待大约20分钟后,他被带到检查室接受了医生评估。
该男子透露,他在中国武汉探望家人后于1月15日返回华盛顿州。该患者表示,他从美国疾病控制与预防中心(CDC)收到有关中国新型冠状病毒爆发的健康警报,鉴于他出现的症状和最近前往过武汉,他决定去看医生。
除了有高甘油三酯血症的病史外,病人平素健康、不吸烟。体检结果显示,体温37.2℃,血压134/87mm Hg,脉搏110次/分,呼吸频率16次/分,血氧饱和度96%。肺部听诊显示有支气管炎,并进行了胸片检查,未显示异常。
鼻咽拭子的甲型和乙型流感,副流感,呼吸道合胞病毒,鼻病毒,腺病毒和已知会导致人类疾病的四种常见冠状病毒株(HKU1,NL63、229E和OC43) 均为阴性。
根据患者的旅行历史,诊所立即通知了地方和州卫生部门。华盛顿卫生部与紧急护理临床医生一起通知了CDC紧急行动中心。尽管该患者报告说,他没有去过华南海鲜市场,在中国期间没有与病者接触,但CDC工作人员同意,有必要对患者进行2019-nCoV测试,并根据CDC指南收集了8个标本,包括血清、鼻咽和口咽拭子标本。标本采集后,患者回到家中隔离,并由当地卫生部门进行积极监测。
确诊、入院隔离治疗
2020年1月20日,CDC证实,该患者的鼻咽和口咽拭子通过实时逆转录酶-聚合酶链反应(rRT-PCR)检测为2019-nCoV阳性。在CDC专家、州和地方卫生官员,紧急医疗服务以及医院领导和工作人员的配合下,患者被送往普罗维登斯地区医疗中心的空气隔离病房进行临床观察,医护人员按照CDC的建议采取了必要的防护,如佩戴护目镜防止飞沫传播。
2020年1月20日,美国疾病预防控制中心(CDC)证实,该患者的鼻咽和口咽拭子通过实时逆转录酶-聚合酶链反应(rRT-PCR)检测为2019-nCoV阳性。在疾病预防控制中心主题专家,州和地方卫生官员,紧急医疗服务以及医院领导和工作人员的配合下,患者被送往普罗维登斯地区医疗中心的空气隔离病房进行临床观察,并由疾病预防控制中心的医护人员进行治疗有关接触,飞沫和空中防护措施的建议,并带有护目镜。
高热及支持性治疗
入院时,患者自述持续咳嗽,并有2天的恶心和呕吐史,没有呼吸急促或胸痛。生命体征在正常范围内。体检发现患者粘膜干燥,其余检查没有明显异常。入院后,患者接受了支持治疗,包括2升生理盐水和昂丹司琼以缓解恶心。在住院的第2至5天(患病的第6至9天),患者的生命体征基本保持稳定,除了出现间歇性发烧并伴有心动过速。
根据疾病日和住院日(2020年1月16日至2020年1月30日)的症状和最高体温
患者继续报告干咳、乏力。在住院第二天的下午,患者排稀便,腹部不适。晚上第二次排稀便。收集该粪便标本用于rRT-PCR检测,并收集其他呼吸道标本(鼻咽和口咽)和血清。粪便和两个呼吸道标本随后均通过rRT-PCR检测为2019-nCoV阳性,而血清仍为阴性。
在此期间的治疗在很大程度上是支持性的。为了对症治疗,患者根据需要接受了退热疗法,包括:每4小时650 mg对乙酰氨基酚和每6小时600 mg布洛芬。在住院的前六天,他还因持续咳嗽而服用了600毫克愈创甘油醚,接受了约6升生理盐水输液。
临床实验室结果:
住院第3天和第5天(疾病第7天和第9天)的实验室结果显示,白细胞减少,轻度血小板减少,肌酸激酶水平升高。
此外,肝功能指标也有所变化:住院第5天,碱性磷酸酶(每升68 U),丙氨酸氨基转移酶(每升105 U),天冬氨酸氨基转移酶(每升77 U)和乳酸脱氢酶(每升465 U)的水平均有所升高。鉴于患者反复发烧,在第4天进行了血液培养;迄今为止,没有任何细菌生长。
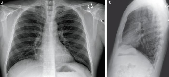
2020年1月22日(患病第7天,住院第3天)的后前胸和外侧胸片。
恶化、吸氧、注射瑞德西韦
但是,住院第5天晚上(患病第9天)进行的第二次胸部X光片检查显示,左肺下叶有肺炎。这些影像学发现与从住院第5天晚上开始的呼吸状态变化相吻合,当时患者在呼吸周围空气时血氧饱和度值降至90%。住院第6天,患者开始接受补充氧气,该氧气由鼻导管以每分钟2升的速度输送。开始使用万古霉素(1750 mg负荷剂量,然后每8小时静脉注射1 g)和头孢吡肟(每8小时静脉注射)治疗。
2020年1月24日(患病第5天,住院第9天)的后前胸X线片。
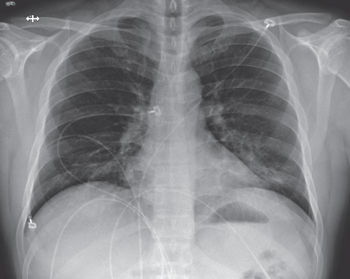
住院第6天(患病第10天),第四次胸部X射线照片显示两肺都有底条索状阴影,这与非典型肺炎相符(图5),听诊时在两肺均有罗音。
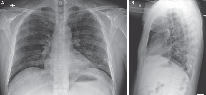
前后胸部X光片,2020年1月26日(疾病第十天,医院第六天)。
鉴于放射线影像学发现,决定给患者吸氧。
由于患者持续发烧、多个部位持续出现阳性2019-nCoV RNA的情况、以及同期相关严重肺炎的报道等因素,临床医生对该患者使用了研究性抗病毒治疗:在第7天晚上开始静脉注射Remdesivir(瑞德西韦,一种正在开发的新型核苷酸类似物),未观察到与输液有关的不良反应。
在发现连续降钙素原水平正常和耐甲氧西林金黄色葡萄球菌鼻腔PCR检测阴性后,第7天晚上停用了万古霉素,并于第二天停用了头孢吡肟。
用药第二天快速改善
住院第8天(患病第12天),也就是注射瑞德西韦后第二天,患者的临床状况得到明确改善。停止吸氧,在不吸氧的情况下,血氧饱和度值提高到94%至96%。先前的双侧下叶罗音消失。食欲得到改善,除了间歇性干咳和鼻涕外,没有其他症状。截至2020年1月30日,患者仍在住院治疗。他没有发热,除咳嗽外,所有症状均已缓解,咳嗽的程度正在减轻。
报道显示,治疗这名患者的普罗维登斯地区医疗中心(Providence Regional Medical Center)主治医生George Diaz对该疗法的成功表达了乐观,但仍然谨慎地表示:“尽管在治疗之后,这名患者的病情出现了迅速的缓解,但我们依然需要进行随机对照的临床试验,来确定瑞德西韦和其他在研药物在治疗新型冠状病毒感染上的安全性和有效性。”
(编辑:张涵)





